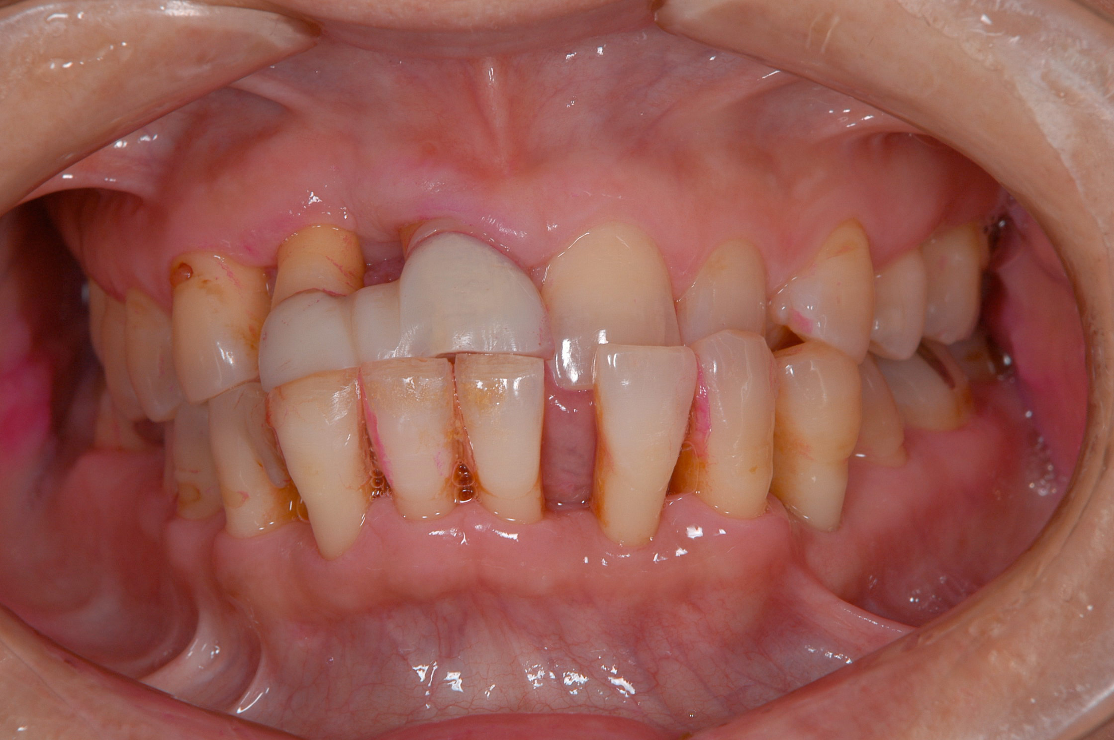
歯周病

歯槽膿漏(歯周病)の主な原因はお口の中の歯垢です。
「食事の後は必ず磨く!」が原則ですが、これを怠ったり、食生活で甘い物やデンプンを多くとるような場合には、歯の周りに歯垢がたくさん付着します。
この歯垢は一体なんでしょうか?言わずも細菌類の集合体なのです。これらの菌が歯と歯肉の間の部分にたまり、炎症を起こし、歯肉を赤くはれぼったくし、そして激痛、さらにひどくなるとウミが出てきます。この歯垢を除去してやると炎症は軽くなってきます。毎日頻繁にこの歯垢を取り除くことが大切です。すなわち毎日の正しい歯磨き、そして甘味、デンプン類の食べ方に注意しましょう。
次に、外傷性咬合も歯槽膿漏の原因です。
外傷性咬合といって、歯が抜けたり、歯槽膿漏がひどくなってくると上下の歯牙の”噛み合わせ”が少しずれてくることがあります。そうすれば、他のいろいろな歯に異常な咬み合わせの力が加わり、歯の動揺が強くなってくることがあります。
異常な力で歯が揺さぶられ、歯を支えている骨(歯槽骨という)がゆるんで、最期には歯が抜けてしまいます。更にひどくなってくると、顎がずれて、歯科の第3の病気と言われる顎関節症を起こすこともあります。
顎関節症

顎関節に痛みが生じる、口が開けづらい、口を開くときに耳の付け根辺りで「カクッ」「ゴリッ」といった不快な音が鳴る、というのが主な症状です。
このような症状により、「硬い食べ物を噛めない」「大きな食べ物を食べられない」「顎の音が煩わしい」といったストレスを抱えることになります。
症状が悪化すると、口を開けようとしなくても顎関節や、頬やこめかみなどの顎を動かす筋肉が痛んだり、口が開かなくなったりします。
さらに体の痺れ、めまい、片頭痛等、体に不快感や違和感を覚えるようになることもあります。
少しでも異常を感じた時は、早めにご相談ください。


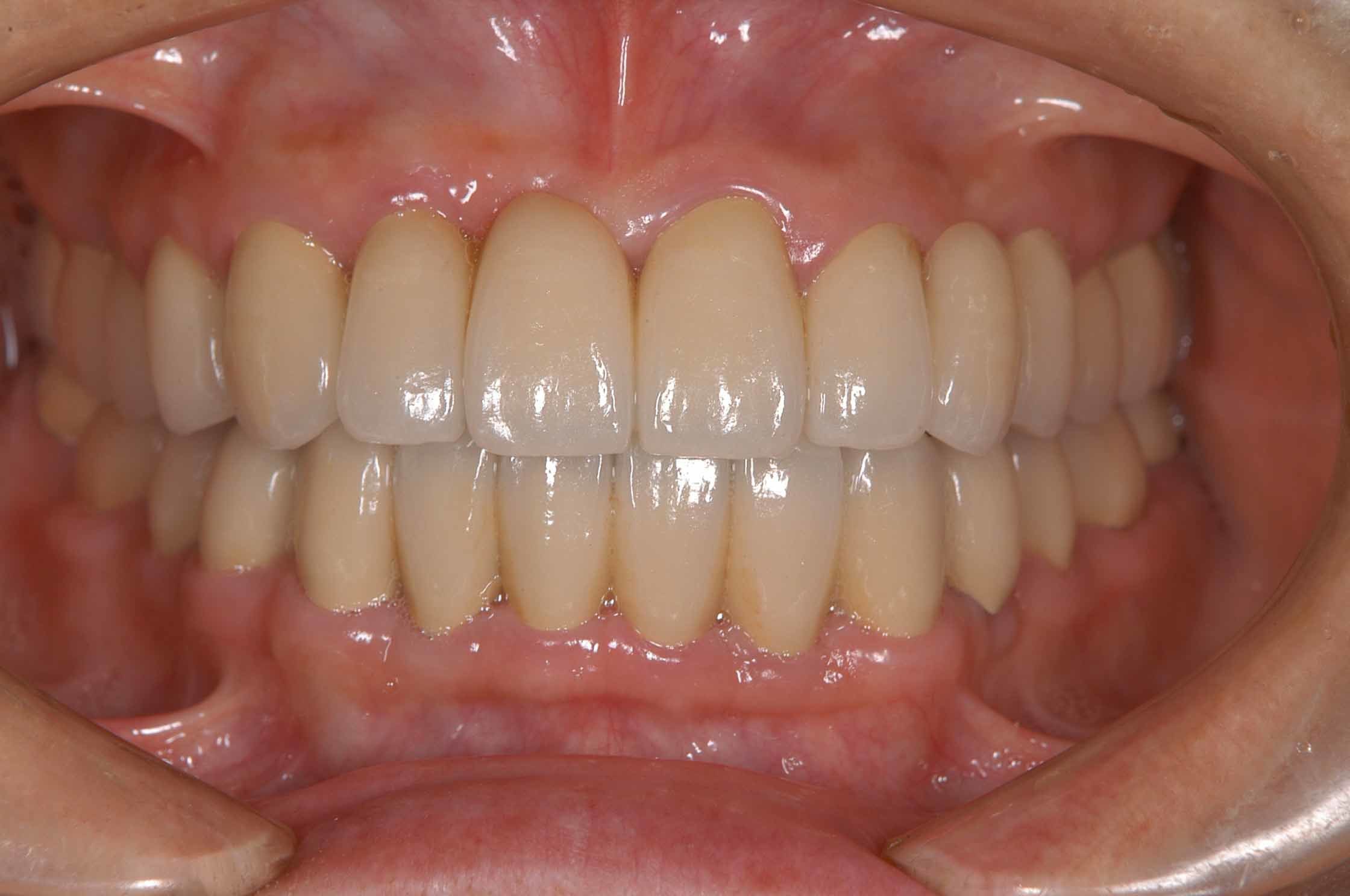
インプラント

インプラントは、歯の抜けた所に人口の歯根を植え、しっかりと顎(あご)の骨と固定した後、その上に人口の歯を製作し装着する方法です。
天然歯と同様の健全な咀嚼運動(噛み砕き、飲み込む運動)ができるようになります。
インプラントはこのような方に適しています。
・取り外しの入れ歯が嫌いな人、または仕事その他の事情で不都合な人。
・歯が抜けた所を治療するために、残っている歯を削られたくない人。
・入れ歯で、発音や発声に不便を感じている人。
・総入れ歯が合わず生活にも支障をきたし、不快感を抱いている人。
・入れ歯を装着すると残っている歯に悪影響を及ぼすと考えられる人。


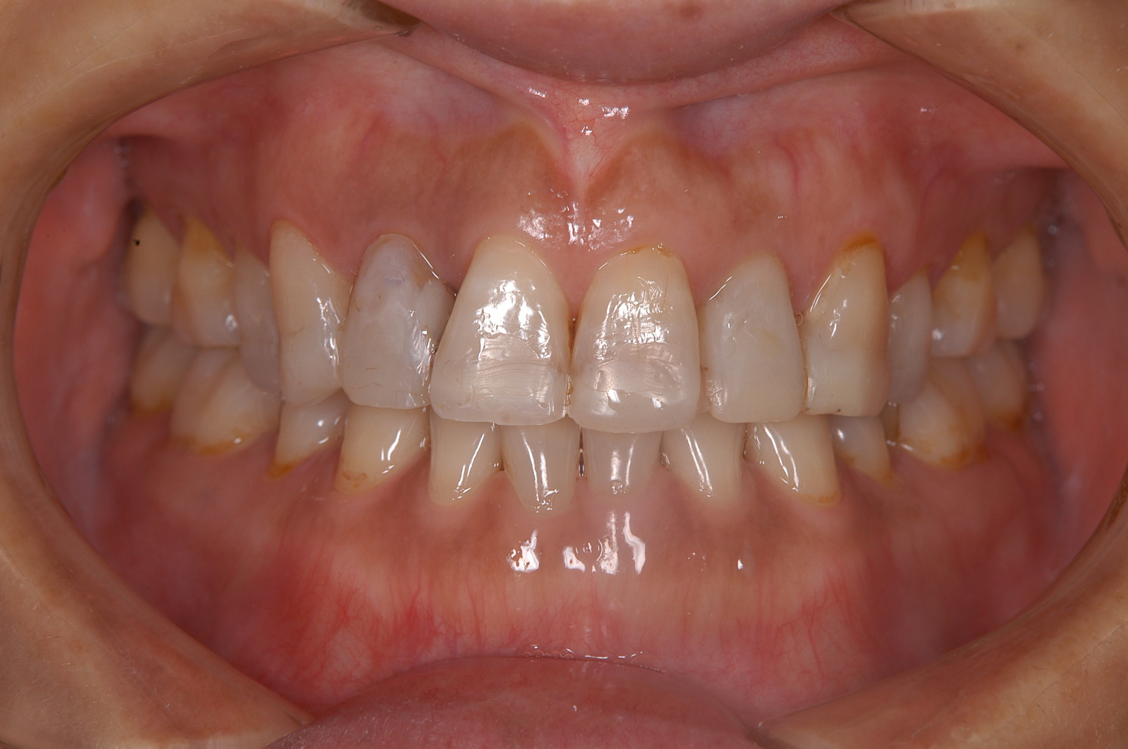
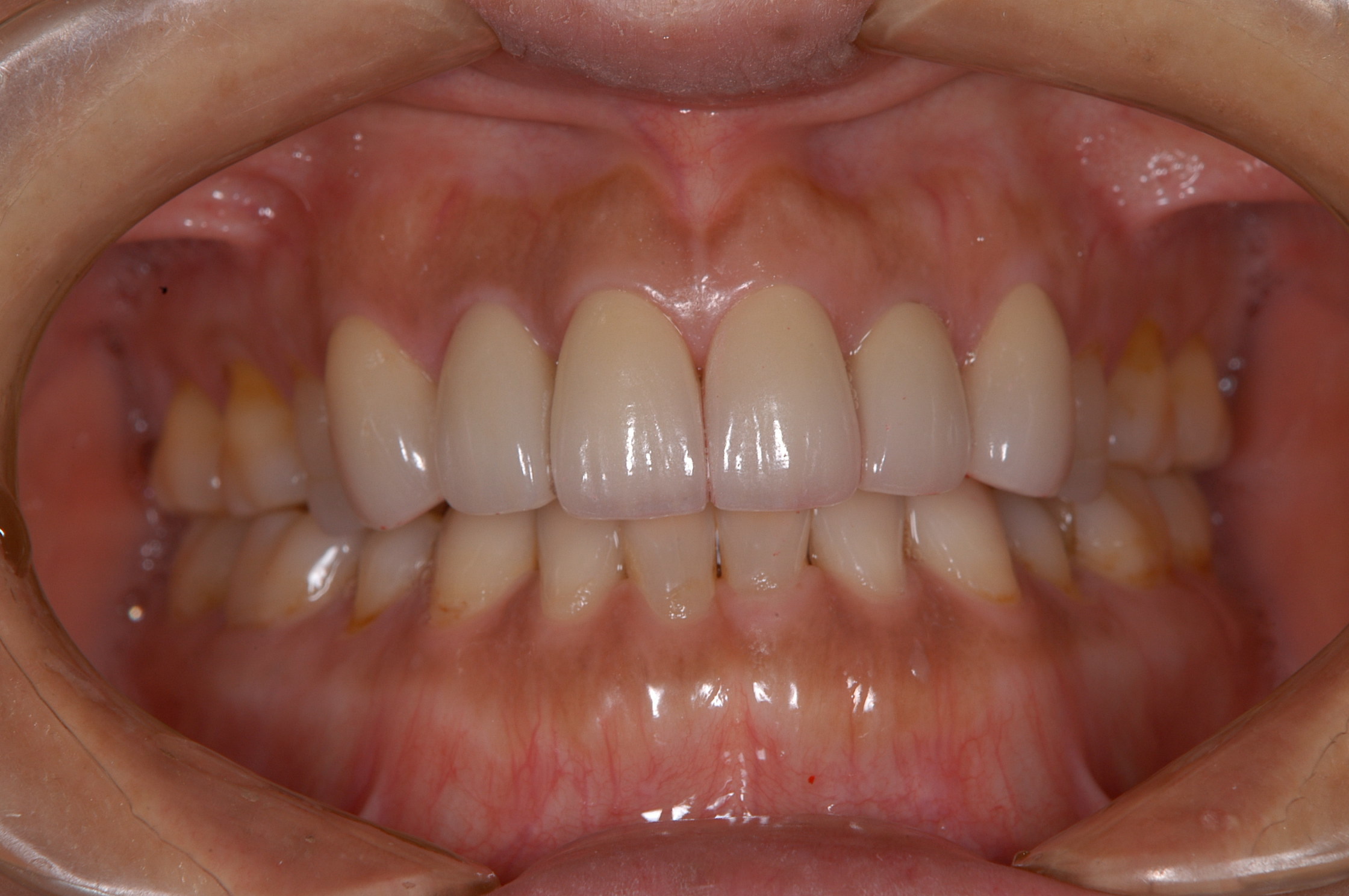
ホワイトニング

歯の色を白くしたいと思われる方は歯の漂白治療はいかがでしょうか?
歯の表面に付いた汚れをきれいに落とした後、オーダーメイドのトレーを作成し、漂白剤(10%過酸化尿素)をトレー内に入れ5〜6時間、トレーを装着します。
これを約2週間継続(個人差あり)するだけで、自然な色調で白くすることができます。(この方法は自宅で行います)
審美歯科

ラミネートべニア
ポーセレンラミネートベニア修復とは、歯を削る量を最小限に留め、より天然歯に近い状態に復元できる審美治療です。
女性が爪に貼るネイルのような感じです。
オールセラミック
修復物を天然歯にいかに近似させることができるかに特化しています。
金属を一切使用しないため、天然歯と同様に光を通し自然感を出すことができる審美治療です。


虫歯治療
虫歯は歯が生え始めてから1~2年の間にできやすいです。
症状としては、まず冷たい物にしみることから始まります。さらに深くなっていくと、食べ物の圧迫によって激痛を発するようになります。
次に歯髄炎をおこします。神経が細菌による感染でやられてしまい、痛みが強くなったり、熱い物にしみるようになります。また、腫れたり、根っ子の先の部分の歯槽骨にウミがたまったりしてきます。
我慢せずに早めの治療を行いましょう。
歯並び矯正
歯並びが悪く、上下の歯がきちんと咬み合ってない時に、「きちんと食物が噛み砕けない」「発音ができない」「顎関節に異常がある」などの場合には矯正をする必要があります。
歯並びにも、「乱ぐい歯」「受け口」「出っ歯」「開咬」といくつかの状態があり、それぞれの症状によって矯正をした方がよい時期が変わってきますので、症状が見られた場合は早めに医師にご相談ください。
当院より専門医にご紹介いたします。
歯や口に違和感を感じましたら早めにご相談いただくのはもちろんですが、日ごろの予防が最も大事な行いとなります。
虫歯になりにくい丈夫な歯を作るためにはどうするか。
夜寝る前に、歯磨きが終わった後にうすいフッ素溶液でうがいをします。これを毎日続けることによって、歯質が強化され、むし歯になりにくい丈夫な歯になります。
生えたての歯に一番効果があるので、永久歯の生えそろう12歳くらいまで続けるといいでしょう。
もちろん、丁寧なブラッシング+お母さんの仕上げ磨きもお忘れなく!
当院でもブラッシング指導を行っていますので、ご相談くださいね。